Seja bem-vindo!
-
Estamos muito felizes por entrar em sua vida a partir de algo tão importante: a qualidade do seu sorriso.
E, como sorrir é importante, não é mesmo? Sorrir com segurança é mais gratificante ainda e essa é a nossa motivação diária: selecionar as tecnologias mais modernas da odontologia e harmonizá-las com uma concepção única de atendimento, cujo foco são excelência e bem-estar. Assim como nossa paixão pela odontologia e por pessoas. Isso nos motiva desde 2003!
Exatamente por isso a Clínica Renata Avighi foge completamente dos ambientes odontológicos tradicionais. Nossas bases foram arquitetadas a partir de uma concepção única de serviços, com todos os elementos para oferecer um atendimento cuidadoso e inesquecível. A começar pelo ambiente cheio de estilo e com decoração linda, aroma personalizado, playlist exclusiva e a presença da natureza em todas as etapas de sua permanência na clínica.
Mais do que isso, gostoso mesmo é recebê-lo com a cordialidade de nossa equipe, além daquele bolinho caseiro, nossa água aromatizada e cafezinho irresistível. Tudo para lhe oferecer mais que odontologia: a experiência única de ser o nosso paciente!
Esperamos que você sinta a satisfação de, agora, também fazer parte desse grandioso projeto.
Atenciosamente,
Dra. Renata Avighi e Equipe
Sorrisos
tratamentos
Resina
A busca dos pacientes por dentes claros e alinhados é uma realidade nos
consultórios. Por esse motivo, a resina composta ganhou destaque nas
pesquisas da odontologia e hoje é um material extremamente confiável para
ser usado em restaurações de dentes anteriores e posteriores.
_______
É um ótimo material para substituições de antigos amálgamas. Pode também ser
usada em dentes anteriores para fechar pequenos espaços já existentes ou que
restaram após uma correção ortodôntica; os chamados diastemas; podendo até
eliminar o uso do aparelho em alguns casos.
_______
Resultados finais totalmente satisfatórios, duráveis e conservadores.
Clareamento
Realizado em casa pelo paciente ou no consultório, o clareamento, é um
tratamento cosmético de muito sucesso!
Indicado para iluminar sorrisos.
_______
Naturalidade, beleza e rejuvenescimento em poucos dias!
_______
Não indico restrição alimentar alguma, mesmo dos alimentos
escuros! O mais legal é que pode ser retocado sempre que o paciente quiser,
uma vez por ano por exemplo... Sentiu o dente voltar a escurecer? Uso do gel
em casa mesmo, alguns dias, e pronto! Dentes brancos para uma vida inteira!
Plástica Gengival
Detalhes que transformam completamente um sorriso!
_______
A plástica gengival alinha e devolve simetria entre os dentes. Um
procedimento de 15 minutos, com anestesia local e um sorriso perfeito para a
vida toda!
_______
Também indicada para a remoção do excesso de gengiva, expondo dente
escondido e deixando eles maiores no comprimento. Possibilitando assim maior
espaço para reproporciona-los.
Reabilitação Oral
Impossível falar de estética sem falar em saúde. Voltar a ter as condições
ideais de mastigação, confiança e segurança é tão importante quanto a
satisfação de exibir um sorriso bonito.
_______
A reabilitação torna-se necessária quando o paciente já apresenta ausências
dentárias ou desgastes severos por hábitos parafuncionais, como bruxismo por
exemplo.
_______
Ambos podem causar dor na articulação, cabeça, pescoço e até estalos nos
ouvidos. Pode ser obtida de modo convencional, com prótese total, parcial ou
unitária; ou de maneira mais complexa com prótese fixa sobre implante e
coroas de porcelana.
Prevenção
A odontologia atual é baseada na prevenção de doenças bucais como a cárie e
doenças gengivais.
_______
A prevenção consiste em instrução de higiene oral correta, com escovação
associada ao uso de fio dental, além do estímulo ao paciente em manter uma
higiene bucal constante e também a manutenção anual feita pelo dentista.
_______
Este controle do profissional também é um artifício imprescindível para
evitar surpresas desagradáveis ao paciente.
_______
Para pacientes que já passaram por reabilitação oral ou transformação de
sorriso, esse controle é ainda mais importante, garantindo assim que o
sucesso do tratamento seja mantido por mais tempo.
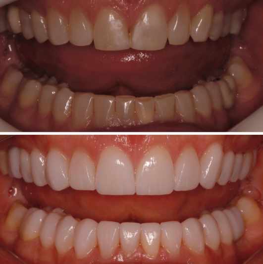
Lentes de Contato
Lentes de Contato
Esta cada dia mais fácil e rápido exibir o sorriso dos sonhos.
_______
As lentes de contato dentais são lâminas de cerâmica bem fininhas,
personalizadas para dada paciente após minucioso estudo das linhas da face e
curvatura do sorriso.
_______
Geralmente são coladas sobre a face externa dos dentes superiores anteriores
e permitem conquistar dentes brancos, alinhados e perfeitos.
_______
Aqui na Clinica Renata Avighi o processo leva pouquíssimas sessões, sem
quase nenhum desgaste dental.
3º Idade
Com o aumento da expectativa de vida os idosos tem se preocupado mais com sua
qualidade de vida e em aproveitar bons momentos, e isso inclui viajar, fazer
amigos e também mastigar melhor e com confiança. Muitos deles são
complexados pela perda dos dentes, e não conseguem sorrir por vergonha e
medo.
_______
A odontologia pensou nisso e desenvolveu técnicas para dar maior segurança a
esses pacientes que usam próteses móveis ou totais (dentaduras) e que querem
se livrar deste desconforto.
_______
Os implantes auxiliam neste sistema, podendo servir de suporte, encaixe ou
até mesmo fixação para essas próteses antes móveis e soltas. O paciente pode
também escolher substituir alguns dentes ausentes por porcelanas unitárias
sobre esses implantes, na região em que a prótese antiga não esteja
confortável ou com estética insatisfatória.
_______
Com os dentes em posição e fixos o paciente volta a ingerir grãos, fibras,
frutas, folhas e carnes; alimentos essenciais à saúde; e também a mastigar
melhor esses alimentos; gerando assim saúde e longevidade, além da segurança
de voltar a sorrir e comer diante de outras pessoas.
Ortondontia / Alinhador
Novas técnicas surgiram para facilitar e agilizar a correção da oclusão e
alinhamentos dos dentes. Destaques para:
_______
Alinhadores: Sequencia de placas de acetato desenvolvidas por um software
para substituir as peças metálicas do aparelho fixo convencional e corrigir
pequenos desalinhamentos dentais. Invisível, pratico e confortável.
_______
Mini implantes e mini placas: Sistema de ancoragens que aceleram o
tratamento.
_______
Autoligados: Permite novos movimentos mais rápidos e precisos.
Cirurgia
Segurança e excelência em todos os procedimentos de cirurgia oral menor:
* Implantes importados;
* Mini implantes e placas de ancoragem;
* Enxertos ósseo e gengival;
* Biópsias;
* Extrações;
* Ortognática;
* BMP;
Toxina Butolínica
A toxina botulínica age como um bloqueador neuromuscular, impedindo,
parcialmente ou totalmente, a contração muscular.
_______
Assim é utilizado na Odontologia como o tratamento de disfunção
temporomandibular (DTM). A toxina diminui a força dos músculos da
mastigação, reduz a tensão e alivia os sintomas de dor para pacientes
apertadores ou bruxistas.
_______
O toxina butolínica também é indicado para suavizar as rugas e linhas de
expressão do rosto.
Depoimentos
Filipe Paes
Eu tinha vergonha de sorrir. Sou profissional da fotografia e sempre busco o melhor ângulo e o melhor sorriso. E eu também queria isso para mim. Hoje eu fotografo sorrindo.
Fran Prestes Real
Um divisor de águas em minha vida e na minha carreira. O meu sucesso é o meu sorriso, minha
marca registrada, que estará comigo estampado para sempre. Esse sorrisão aberto, que eu amo. Não
poderia estar mais satisfeita depois desse resultado.
Mônica Tessecini
Eu me sentia insegura com meu sorriso e sempre o escondia, ficava mais séria. E eu queria um
sorriso novo para mim, mas que fosse natural e bonito. Gostei muito do resultado e agora consigo
sorrir!
Astrid G M Zanatta
Eu achava que meu sorriso estava bom, mas ao ver o antes e depois, e também no dia a dia, pude
notar a diferença. Muita, muita diferença. Ficou muito bom. Ficou ótimo.
Marilia Boaretto
Eu sempre gostei de sorrir, sempre trabalhei com meu sorriso e com minha imagem. Poder sorrir
com o sorriso aberto é maravilhoso. Hoje ele é escancarado. É muito gostoso sorrir de verdade.
Sônia Rosa
Transformar o sorriso? Na verdade não foi nem transformação, foi ganhar um novo sorriso, porque
eu não tinha sorriso! Até o formato do meu rosto mudou; estou tão feliz que estampo mesmo o
sorriso no rosto.
Sandra Rampazzo
Comecei a adorar meus dentes e receber elogios, o que eu não acontecia antes. Eu amei, adorei,
estou muito feliz. Sorrir, pra mim, representa emoção, alegria, felicidade. Sou outra pessoa. A
boca vive aberta, sorrindo.
Fernanda Travaglini Berto
Eu tinha muita vontade de ter um sorriso maravilhoso. Não fazia nada sorrindo. Quando por fim
procurei um tratamento estético, descobri também um problema grave de refluxo. Consultei um
gastro, fiz uma cirurgia e emagreci 31 quilos. Hoje sou uma pessoa mais feliz e muito mais
saudável. O tratamento foi um marco em minha vida.
Raphael Rodrigues da Silva
Como muda você ter um sorriso bonito! E como o resultado ficou natural! Ninguém comentava como
os meus dentes estavam feios, mas hoje recebo milhões de elogios. Estou extremamente realizado
com o meu novo sorriso. Mudou muito minha segurança e aumentou ainda mais minha autoestima.
Realmente mudou minha vida.
Kiara Rampazzo
O novo sorriso está muito natural, realçou minha beleza. Fiquei muito entusiasmada desde o
projeto. Todo mundo gostou...e eu estou muito feliz, sorrindo mais. Foi uma experiência
maravilhosa.
Celaine de Godoy Barbosa
Eu tinha um diastema grande, que não gostava. A Renata me propôs fecha-lo e eu topei. Quando eu
vi o resultado final, gente! Você quer ficar sorrindo para todo mundo, a toda hora. Resultado
espetacular.
Monise Christofoletti
Sou maquiadora e sei o quanto um sorriso equilibrado e bonito reflete na beleza do rosto. A
transformação sutil do meu sorriso fez toda a diferença em minha autoestima. Um detalhe que
mudou tudo.
Flávia Sá
Eu não conseguia sorrir, tinha muita vergonha, e isso me fazia muito mal. O sorriso novo foi
libertador! Não consigo ver a Flávia antes disso. Eu não imagino mais ela; ela não existe mais.
Neto Biondo
Hoje eu me sinto seguro para falar, sorrir, fotografar. Impactou bastante no meu modo de viver.
Fico mais leve ao conversar com as pessoas
Gislaine Delabio Rissatto
Eu sempre observei sorrisos, sempre fui apaixonada por sorrisos...e eu não queria perder meu
DNA. Ganhei um sorriso bonito, leve, delicado e transformado. Mas, acima de tudo, um sorriso
natural, que era o meu desejo. Hoje tenho o sorriso dos sonhos.
Profissionais
Renata Avighi - CRO 83658
- Graduada pela UNICAMP.
- Especialista em "Dentística Restauradora Estética" pela ACDC.
- Atualizada em "Prótese sobre Implante" pela UNICAMP.
- Atualizada em "Restauração Estética em Cerâmica" por Sidney Kina.
- Atualizada em "Odontologia Estética Integrada: A busca da Excelência" pela Integrato.
- Atualizada em "Laminados cerâmicos, lentes de contato e fragmentos cerâmicos" pela Integrato.
- Curso completo de "Fotografia para dentistas" com Dudu Medeiros.
- MBA - Gestão e mercado para profissionais de saúde.
- "Reabilitação Oral Avançada - Integrando o Planejamento Funcional ao Desenho Do Sorriso" por Marcelo Calamita.
- Residencia DSD- Smile Design e Odontologia Emocional.
- Residencia DSD- Over the Shoulder Clinico e Fluxo de Trabalho Digital.
- DSD Member.
- Atualizada em "Terapêutica Orofacial - harmonização facial usando toxina botulínica e materiais preenchedores" por BOC São Paulo.
- Credenciamento no Sistema de Alinhadores Ortodônticos Easysolution.
- Curso Master em reabilitação bucal biomimética de alta complexidade - cerâmicas e resinas compostas. Certificado pela UCAM, Universidade Católica Santo Antônio de Murcia, da Espanha.
Gabriela Baldessim - CRO 130285
- Graduada pela Universidade Estadual Paulista Júlio de Mesquita Filho, UNESP.
- Especialização Implantodontia - Prof. Dr. Márcio de Moraes. Universidade Estadual de Campinas, UNICAMP.
- Atualizada em Dentística Restauradora - Profa. Dra. Sandra Rahal Mestrener.
- Atualizada em Cirurgia Oral Menor com ênfase em Dentes Inclusos - Prof. Dr. Paulo Sérgio Perri de Carvalho.
- Treinamento técnico junto à disciplina de Oclusão, do Departamento de Materiais Odontológicos e Prótese. Universidade Estadual Paulista Júlio de Mesquita Filho, UNESP.
Ana Paula Manzatto - CRO 105873
- Graduada pela Faculdade de Odontologia da Pontifícia Universidade Católica de Campinas, (PUC).
- Pós-graduação em Ortodontia no Gestos - Araraquara/Sp.
Renato Sawazaki - CRO 86985
- Graduado pela Universidade Estadual de Londrina.
- Especialista em Cirurgia e Traumatologia Buco-maxilo-faciais pelo CFO.
- Mestre e Doutor em Clínica Odontológica com concentração em Cirurgia Buco-maxilo-facial pela FOP/Unicamp.
- Pós-doutor em Cirurgia e Traumatologia Buco-maxilo-faciais pela FOP/Unicamp.
- Professor da Área de Cirurgia Buco-maxilo-facial da Universidade de Passo Fundo/RS.
Maria Paula Meirelles - CRO 58462
- Mestrado e Doutorado em Odontologia pela FOP/UNICAMP.
- Aperfeiçoamento em Endodontia pela FOP/UNICAMP.
- Capacitação em Microcirurgia Endodôntica pelo INMAGNI.
- Capacitação em Implantodontia e Reabilitação Oral pela FO/UNIP.
- Capacitação em Microscopia Operatória - Prof. Carlos Murgel.
- Habilitação em Acupuntura na Odontologia pelo CFO.
- Professora da Área de Odontologia Preventiva e Clínica Integrada da Universidade Paulista.
Equipe
Cordialidade, carinho e competência. A equipe da clínica é muito preparada para receber bem nossos clientes. Cuidamos de todos os detalhes para faze-los sentir felizes, acolhidos e realizados.

Falar no WhatsApp